Unpretentious experiment proposed to me by a friend:
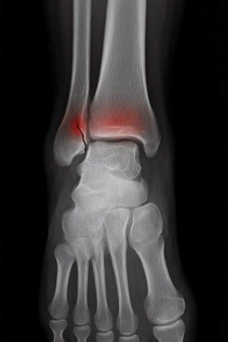
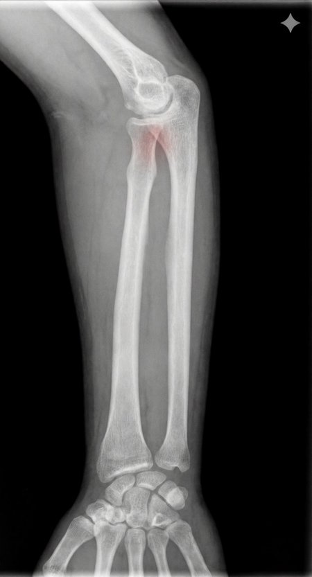
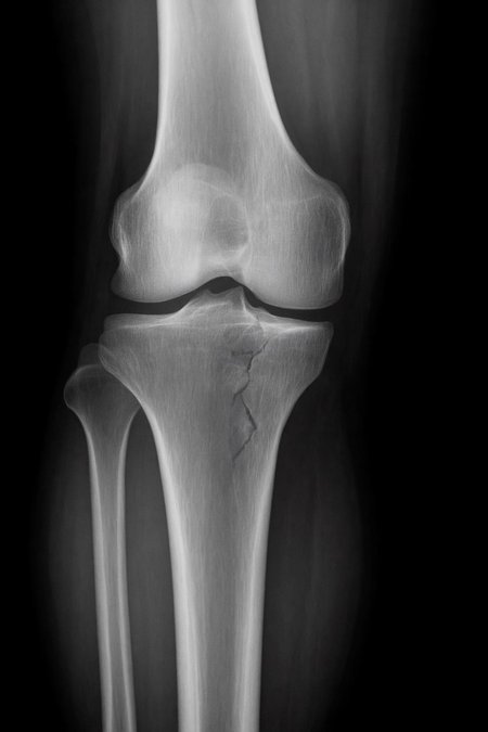
Can a model like Flux Kontext, designed for editing art and photography, be used to work with medical images, for example, with something 'as simple' as red-marking fractures?
The quick answer: it does do something interesting, but it over-scores and is far from reliable as a medical tool. It's a prototype to play with the idea, nothing more.
How to use it
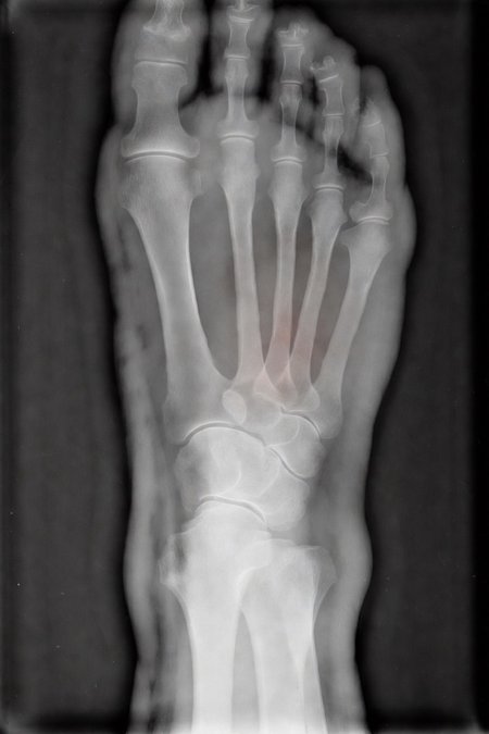
1. Upload a bone X-ray (real or synthetic).
2. Ask: “Make marks where there is a fracture”.
3. Adjust denoise, sampler adn scheduler according to what you're looking for:
Prudent mode (fewer false positives)
Sampler Euler, 15 steps
Scheduler Karras
Denoise 0.90
Test results:
False positives ≈ 24%
Fracture detection ≈ 20%
Sensitive mode (more detection, lots of noise)
Euler, 15 steps, Karras
Denoise 1.0
Result:
False positives ≈ 80%
Fracture detection ≈ 86%
Even more aggressive settings (e.g. rk beta57 to denoise 1.0) reach the absurd: 100% false positives and 100% detection: it paints everything red and almost hits all fractures beyond marking healthy areas, for an untrained eye.
With a synthetic mini-dataset for Civitai of images made with 100% AI (10 healthy X-rays and 10 fractured):
False positives: 100% in healthy bones.
Fracture detection: ≈ 45%
Good for
AI prototypes and tests on medical imaging.
Eye-catching visualizations of "suspicious" areas in X-rays (experimental and creative art, here's an exotic tool xD)
Didactic/experimental material to play with sensitivity vs false positives.
Not good for:
Diagnose nothing serious.
Replacing a doctor, not even close!
Important
This LoRa is for visual experimentation only. It is not a medical device, it is not reliable and should not be used for clinical diagnosis.
Of course, taking into account that it is open source, fast (25 seconds per analysis) and that it can run on desktop computers, I think it is worth continuing to experiment with this concept in the future... we will see!
Have fun!
———
Experimento sin pretensiones que me propuso un amigo:
¿Se puede usar un modelo como Flux Kontext, diseñado para hacer ediciones en arte y fotografía, para trabajar con imágenes médicas, por ejemplo, con algo ‘tan sencillo’ como marcar en rojo fracturas?
La respuesta rápida: sí hace algo interesante, pero marca de más y está muy lejos de ser fiable como herramienta médica. Es un prototipo para jugar con la idea, nada más.
Cómo usarlo
Carga una radiografía de huesos (real o sintética).
Pide: «Make marks where there is a fracture».
Ajusta denoise, sampler y scheduler según lo que busques:
Modo prudente (menos falsos positivos)
Sampler Euler, 15 pasos
Scheduler Karras
Denoise 0.90
Resultado en pruebas:
Falsos positivos ≈ 24 % (
Detección de fracturas ≈ 20 %
Modo sensible (más detección, mucho ruido)
Euler, 15 pasos, Karras
Denoise 1.0
Resultado:
Falsos positivos ≈ 80 %
Detección de fracturas ≈ 86 %
Configuraciones aún más agresivas (p. ej. rk beta57 a denoise 1.0) llegan al absurdo:
100 % falsos positivos y 100 % detección: lo pinta todo de rojo y casi acierta en todas las fracturas más allá de marcar zonas, para un ojo poco entrenado, sanas.
Con un mini-dataset sintético para Civitai de imágenes hechas con IA al 100% (10 rayos X sanos y 10 con fractura):
Falsos positivos: 100 % en huesos sanos.
Detección de fracturas: ≈ 45 %
Bueno para
Prototipos y pruebas de IA sobre imagen médica.
Visualizaciones llamativas de zonas «sospechosas» en rayos X (arte experimental y creativo, aquí tienes una herramienta exótica xD)
Material didáctico / experimental para jugar con sensibilidad vs falsos positivos.
No es bueno para:
Diagnosticar nada serio.
Sustituir a un médico, ¡ni de lejos!.
Importante
Este LoRa es solo para experimentación visual.
No es un producto sanitario, no es fiable y no debe usarse para diagnóstico clínico.
Eso sí, teniendo en cuenta que es de código abierto, rápido (25 segundos por análisis) y que puede correr en equipos de sobre mesa, creo que merece la pena seguir experimentando con este concepto en el futuro… ¡ya veremos!
¡A pasarlo bien!
Description
V0.1 Original test version
——
V0.1 Versión de prueba original



















